 |
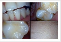
Atualmente, a tecnologia utilizada na área odontológica e de prótese dentária, é
de extrema importância na inovação de técnicas para as correções de problemas de saúde e estética bucal.
Em um ambiente moderno, o Consultório Marcos Pinto Odontologia está sempre atualizado,
oferecendo aos clientes e amigos, produtos inovadores e equipamentos de última geração.
|